首发新模型!B-hIL4/hIL4RA 小鼠助力哮*新药研发
背景简介
IL4(interleukin 4)该基因编码的蛋白质是由活化的T细胞产生的多效细胞因子。IL4能够结合其受体IL4Ra,对B细胞,T细胞,肥大细胞,巨噬细胞等具有免疫调节作用。IL4在哮*模型中能够诱导B细胞合成大量IgE,招募嗜酸性粒细胞募集,增强ASM收缩,促进气道重塑等过程[1]。
IL4RA(interleukin 4 receptor α)该基因编码IL4受体的α链,属于I型跨膜蛋白,在免疫反应中起着重要作用。IL4R可以与IL4和IL13结合以调节IgE的产生,并且与IL4的结合可以促进Th2细胞的分化,从而诱导哮*的发生[2]。
因此,IL4和IL4R的拮抗剂可降低体内IL4的水平,并可对哮*患者发挥抗炎和抗免疫作用。IL4和IL4R被认为是治疗过敏和哮*的明星靶标。

药物研发现状
Dupixent(dupilumab)是Sanofi和Regeneron推出的靶向IL-4/IL-13的抗体药物,其研发进展也是走在世界前列。

百奥赛图B-hIL4/hIL4RA 小鼠哮*模型小鼠 ——助力药物研发

百奥赛图B-hIL4/hIL4RA小鼠 蛋白表达分析
1. 小鼠血清中hIL4表达检测

ELISA分析C57BL/6和纯合B-hIL4/hIL4RA小鼠血清中IL4蛋白表达
结果显示:在C57BL/6小鼠血清中可检测到mIL4蛋白表达,B-hIL4/hIL4RA小鼠血清中可检测到hIL4蛋白表达。
2. 小鼠脾细胞中hIL4RA表达检测

B-hIL4/hIL4RA人源化小鼠脾细胞活化及流式检测
结果显示:在C57BL/6小鼠中可检测到mIL4RA+细胞。在B-hIL4/hIL4RA纯合鼠中,可检测到hIL4RA+细胞。
基于B-hIL4/hIL4RA小鼠 hIL4RA Ab 药效评估
1. 哮*模型药效评估方案

2. 小鼠哮*模型肺泡灌洗液(BALF)中免疫细胞分析

BALF( Bronchoalveolar Lavage Fluid )炎性细胞分析结果显示,Dupixent Analog给药组炎性反应明显减缓。
3. 小鼠哮*模型血清中IgE检测

实验终点收集小鼠血清样本,检测分析IgE水平。再利用Dupixent Analog处理后,与阳性对照相比给药组IgE水平明显降低。
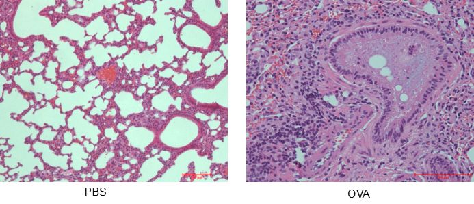
基于B-hIL4/hIL4RA小鼠 哮*模型建立及H&E染色

H&E 染色
B-hIL4/hIL4RA小鼠建立哮*模型后进行肺组织H&E染色。结果显示相对于PBS对照组,哮*阳性组表现出明显的斑片状支气管周围炎性浸润,主要由嗜酸性粒细胞和淋巴细胞组成。
总结
1、百奥赛图B-hIL4/hIL4RA纯合小鼠能够表达人源IL4和IL4RA蛋白;
2、百奥赛图已经建立了稳定的哮*模型,并基于B-hIL4/hIL4RA小鼠能够有效评价人源IL4RA抗体药效。
地 址: 北京市大兴区宝参南街12号 联系人: 百奥赛图 电 话: 010-56967680 传 真: Email:yuanyuan.li@bbctg.com.cn
北京百奥赛图基因生物技术有限公司
商家主页
